Состояние, при котором кровь перестает поступать в кишечник. Без экстренной помощи — инфаркт кишечника и смерть пациента в 80-90 %.
Почему это происходит?
Острая форма — закупорка сосуда тромбом
Хроническая форма — сужение просвета сосудов
Симптомы:
Внезапная сильная боль (часто пациент лежит, прижав ноги к животу)
Тошнота, рвота, вздутие
Диарея, повышение температуры
«Золотой период» для спасения — 4–6 ч. от начала симптомов.
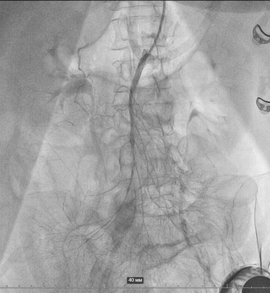
Реальный случай из практики Лидской ЦРБ
В январе к нам поступила пациентка в тяжелом состоянии: неделю страдала от болей в животе, рвотой и диареей. Компьютерная томография выявила тромбоз верхней брыжеечной артерии.
В ангиографическом кабинете врачи провели внутрисосудистую операцию — удалили тромб и установили 2 стента. Кровоток был успешно восстановлен, что позволило избежать сложную операцию с риском послеоперационных осложнений.
Через месяц лечения функция кишечника полностью восстановилась.


